50歲拚工作!婦人「輕微咳嗽看診」已是肺癌末期 醫生揪出關鍵「早有徵兆拖3年」:連刀都開不了

連日來氣溫多變化,一下子冷風吹襲,一下子又大太陽,冷熱交替下容易喉嚨癢癢想咳嗽,然而不是每種咳嗽都被列為小感冒!近日驚傳一名50多歲女性因輕微咳嗽就診,一檢查竟是肺癌轉移,醫生不禁搖頭苦嘆:「拖了3年,連開刀都無法了......」

圖/翻攝自 Yahoo奇摩新聞


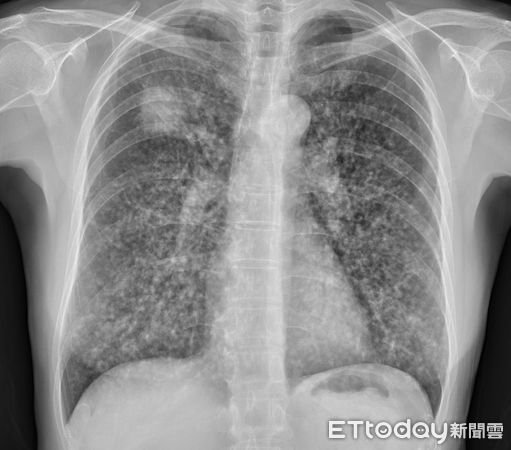
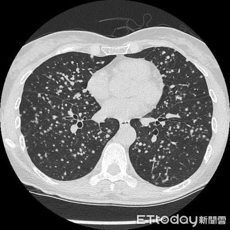
根據《ETtoday》報導,北市聯醫陽明院區胸腔內科主治醫師蘇一峰分享一個案,有一名50多歲的職場女性就醫看診,表示自己近期一直有輕微咳嗽的症狀,原以為是輕微的肺部問題,怎料竟是肺癌末期,甚至已經轉移到體內各處,從X光及電腦斷層檢查來看,肺部整片都是滿天星,白花花一片,醫生也束手無策,生命已開始倒數計時了!

圖/翻攝自 Yahoo奇摩新聞


仔細詢問下才知道,這名患者3年多前參加員工體檢時,就曾X光照出1公分的肺部結節,但她忙著工作並不理會它,繼續工作打拚到現在,怎知才3年時間病況就惡化如此快,從X光片能看出左上方肺部已有4、5公分的腫瘤,崩潰表示:「真的只有一點點咳嗽而已......」

圖/翻攝自 ETtoday


提及這個案,蘇一峰也忍不住在粉專上感慨喊話:「其實職場工作不缺你一個人,但是家人不能沒有你!」希望大家還是要把身體擺在第一位,他也呼籲大家,肺癌別再只依賴X光片,透過低劑量電腦斷層及普通電腦斷層皆可發現肺部X光難以察覺之問題,盡早治療,避免肺部病況繼續惡化!

圖/翻攝自 ETtoday


由於肺癌初期幾乎無任何症狀,臨床上有近7成的肺癌患者,都是出現咳嗽等呼吸道不適症狀才就醫,發現時往往已經是末期了,連刀都無法開。亞東醫院胸腔內科主任鄭世隆透露,肺癌初期不一定會咳嗽,但出現4種情況就要多加注意,恐是肺癌生長越來越快速!
1.體重莫名下降:這情況恐是腫瘤在肺部慢慢生長,導致營養缺乏而體重下降。
2.聲音沙啞:除了喉嚨問題外,也要注意是否是肺癌侵犯到神經,才導致聲音沙啞。
3.咳嗽伴隨咳血:當肺部腫瘤已經影響器官了,就會產生咳血!
4.關節疼痛:即使肺部腫瘤沒有很大,但它可能已經轉移到骨頭,導致關節疼痛。

圖/翻攝自 中時新聞網


走在路上很容易被二手菸傷害到,再加上空氣污染嚴重,女性回家也有炒菜油煙的問題,大家真的要多加注意啊!
文章參考:《ETtoday》







© search.foodpara.com 2026   |   Privacy Policy