全台首例「鐵氟龍流感」?50歲女子「咳嗽咳到要死」確診住院 兇手「出現在廚房」疾管署回應了

美國去年多達265例通報,創下史上新高的「鐵氟龍流感」,近日驚傳台灣疑似出現首例個案,一名50歲女子就醫直呼:「咳嗽咳到要死!」後來因氣喘、胸悶等症狀住院,醫師推測她可能是鐵氟龍流感,對此疾管署也回應了!

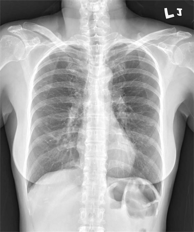
圖/翻攝自 大紀元


根據《ETtoday》報導,陽明醫院胸腔科醫師蘇一峰透過社群平台分享個案,日前收治一名50歲女病患,她本身有氣喘,平時症狀都相當穩定,不料最近突然發病,就診時直言:「咳嗽咳到要死!」照了X光發現她有輕微浸潤肺炎,照出一片白,但做了流感、新冠、黴漿菌等呼吸道病毒細菌的篩檢,卻全都是陰性,詢問平常作息才知道,罪魁禍首恐怕是家中鍋具。

圖/翻攝自 蘇一峰 臉書


女子透露只要使用家中的不沾鍋,就會出現不舒服、胸悶的症狀,尤其是在高溫烹調的時候,煎肉冒出來的味道讓她非常不舒服,醫師推測她是對不沾鍋的相關塗料過敏,越刺激反應會越來越強,到最後咳到不行,住院治療五天出院,女子回家聽從建議更換新鍋子,從此症狀消失,醫師表示:「這可能是台灣首例『鐵氟龍流感』!」但目前政府沒有通報窗口,他也不曉得能去哪通報!

圖/翻攝自 蘇一峰 臉書


雖然稱作「鐵氟龍流感」,但蘇一峰表示:「這個名稱不太對,精確地名稱應該叫鐵氟龍所引起的間質肺炎比較適合。」對此案例,疾管署副署長羅一鈞也出面回應,症狀並不是病毒或病菌傳染造成的,屬於過敏引起的呼吸道疾病,不是傳染病,呼籲民眾不用感到恐慌,保持家中廚具乾淨整潔。

圖/翻攝自 聯合報


據悉,不沾鍋的鍋內塗有一層聚四氟乙烯(PTFE)塗料,俗稱「鐵氟龍」,這種材料具有耐高低溫及耐蝕性等特性,由鐵氟龍所引起的間質肺炎,主要是聚四氟乙烯經高溫加熱,變成煙霧被吸入體內,引起發燒、肌肉酸痛、咳嗽、胸悶、呼吸困難等類流感症狀,同時該塗料中含有全氟辛酸(PFOA),當加熱到327℃時溶出機率增加,可能造成肝臟損傷、影響內分泌系統,毒物科醫師顏宗海表示:「你要嘛就不要用不沾鍋,要使用不沾鍋最好是要保護好塗層。」舉例來說,不要空燒鍋也不要用金屬鏟子來炒菜,若是鍋子有刮痕就要換一個,醫師也建議一不舒服就要停用,避免症狀加劇。

圖/翻攝自 中時新聞網


若是使用完不沾鍋有胸悶不舒服症狀,建議要早點就醫才行!
文章參考:《ETtoday》、《民視新聞網》







© search.foodpara.com 2026   |   Privacy Policy