嘴破發燒!女童照X光「驚見肺部白一半」呼吸急喘 送醫「不到12小時就走了」專家搖頭:輕忽變重症

小孩子的抵抗力,真的不能用大人標準來判斷!每年3月下旬開始,家中有小孩的爸媽一聽「腸病毒」便聞風色變,根本不能大意,有醫師無奈分享案例,只因壞習慣不改善,哀嘆:「12個小時內,女童就走了。」過程讓人聽了超心酸。

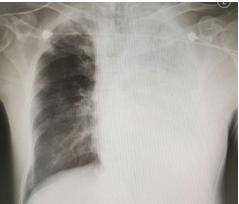
圖/翻攝自 中時新聞網



根據《三立新聞》報導,小兒科醫師張華倫在節目《醫師好辣》中點出,腸病毒好發於5歲以下幼童,一但沒注意孩子身體狀況,悲劇就有可能發生,提及接觸過案例,一位約3、4歲的女童已連續發燒2天,父母見她胃口不佳、狀況沒好轉,在傍晚5點多趕緊將她送急診,經過診斷後確診感染腸病毒,女童的嘴巴內部也破得很厲害,才會痛到不願進食,當下便要她立即住院治療。

圖/翻攝自 醫師好辣 YouTube (下同)


原本還有力氣哭鬧要回家的女童,經過安撫後漸漸安靜下來,才過沒多久,父母便發現女童呼吸狀況變得詭異、越來越喘,醫師當下急照X光檢查,震驚發現女童「肺部已經白掉大半了」,嘴角甚至流出粉紅色泡泡狀的口水,這是病毒已經影響女童腦幹的跡象,情況十分危急。


圖/翻攝自 LINE Today、媽咪拜 (示意圖)


女童病情急速惡化,因出現肺部積水緊急轉送加護病房,進行插管、呼吸器治療,但她的血壓卻開始不穩,使用強心劑維持血壓、心律等急救措施,儘管極力搶救仍回天乏術,送到醫院12小時左右就離開了!醫師張華倫無奈說明,一旦腸病毒影響腦幹,基本上就是重症了,體內更是兵敗如山倒,免疫系統全部失能,無奈表示「一定是救不回來」

圖/翻攝自 聯合報


為什麼腸病毒會變成家長、小孩的惡夢?由於一般病毒只能存活2-4小時,但是腸病毒卻能存活24小時,再加上口沫傳染,年幼的孩子常會將口水、噴嚏都抹在書桌上,就連玩具、書本都遭殃,即便隔天到學校,病毒仍頑強附著在物體上,隨著下一個孩子觸摸,傳染力大大提升,正式威力強大,所以一個班級內只要有2個學童得到腸病毒,班上就會停課!



醫師張華倫提醒大家,即使待在安全的環境下,都要避免隨意觸摸眼口鼻的習慣,養成勤洗手、消毒,語重心長表示「這真的很重要」,尤其是還等著長大的孩子們,更要養成良好的習慣,才能保護好自己。

圖/翻攝自 聯合報


腸病毒真的來勢洶洶,年幼的孩子一有特殊情況千萬不要大意,一定要及時送醫,時間拖太長反而越危險啊!




資料來源:《三立新聞網》







© search.foodpara.com 2026   |   Privacy Policy